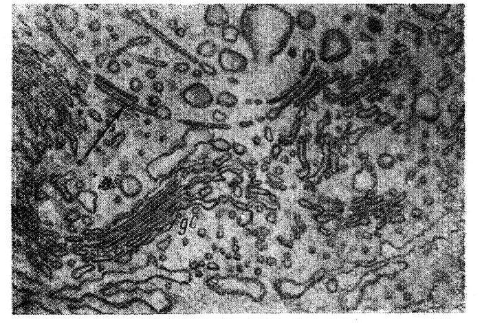
gC - двойные мембраны аппарата Гольджи
220

Табл. II Эргастоплазма в экзокринных клетках. Электронная микрофотография I. Участок цитоплазмы экзокриннон клетки поджелудочной железы морской свинки (увеличение × 40 000):
а - анастомозы между трубочками эндоплазматического ретикулуыа (эргастоплазмы), в - разветвления эндоплазматического ретикулума, с- поперечный и о- косой срез трубочки эндоплазма гического ретику-лума, е - продольный срез трубочки (мембраны идут параллельно друг другу), т -- митохондрии

II. Часть экзокринной клетки поджелудочной железы курицы (увеличение ×46000):
N - ядро, P - пора в трехслойной оболочке ядра, GV - аппарат Гольджи, JZ - зимогенное зерно, ER - эргастоплазма
221

Табл. III. Реснитчатый эпите